Veneers
Expert TMJ Care for a Pain-Free Smile


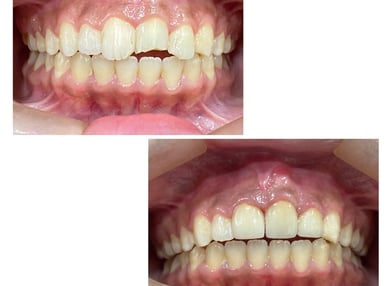
What are Teeth Veneers?
Teeth veneers are thin, custom-made shells of porcelain or composite resin that are bonded to the front of teeth to improve their appearance.
When Should You Consider Teeth Veneers?
1. Discolored or Stained Teeth: Veneers can cover stubborn stains or discoloration that cannot be removed with teeth whitening.
2. Chipped or Worn Teeth: Veneers can repair small chips or wear on teeth, restoring their natural shape and appearance.
3. Gaps Between Teeth: Veneers can close small gaps between teeth, creating a more uniform smile.
4. Misshapen Teeth: Veneers can reshape teeth that are uneven or misshapen.
5. Cosmetic Enhancement: Veneers can enhance the overall appearance of your smile, making it brighter and more radiant.
Procedure
1. Consultation: Discuss your smile goals and determine if veneers are right for you.
2. Preparation: Remove a small amount of enamel from the front of the tooth to make room for the veneer.
3. Impressions: Take impressions of the prepared tooth to create a custom veneer.
4. Temporary Veneer: Place a temporary veneer to protect the tooth while the permanent veneer is being created.
5. Bonding: Bond the permanent veneer to the tooth using a special adhesive.
Aesthetic Results
1. Natural Appearance: Veneers mimic the natural appearance of teeth, creating a seamless smile.
2. Brighter Smile: Veneers can make your smile appear brighter and more radiant.
3. Uniform Shape: Veneers can correct uneven or misshapen teeth, creating a more uniform smile.
4. Boost Confidence: Veneers can enhance your overall appearance, boosting your confidence and self-esteem.
At Bhanu Dental Clinic, we offer affordable pricing for teeth veneers. Dr Charmi Bhanushali will work with you to create a personalized treatment plan that fits your budget and smile goals.
Contact us to learn more about our financing options and to schedule a consultation.
Don't miss out on the opportunity to transform your smile with teeth veneers! Contact Bhanu Dental Clinic today to schedule a consultation and take the first step towards a brighter, more radiant smile.


For more queries