Experience top-quality dental treatments under one roof today!
Routine check-ups for optimal dental health.
Cosmetic procedures to enhance your smile.
Emergency services for urgent dental needs.








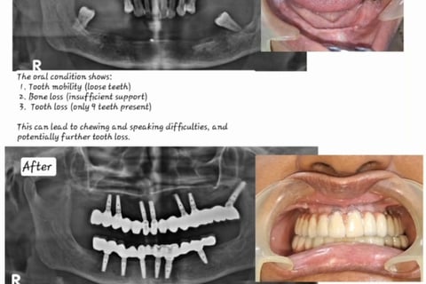
Full mouth implant cases in affordable treatment option

About Dr Vasant Bhanushali
With years of experience and a passion for delivering pain-free dental care, Dr. Vasant Bhanushali is the go-to expert for wisdom teeth removal in Mumbai. His dedication to providing a smooth and comfortable experience and smooth recovery after surgery has earned him a reputation as one of the top dental surgeons in the city.




Your one stop Dental Destination
Trusted dentist for all dental treatments, ensuring quality care for you and your family.
FIX TEETH WITH DENTAL IMPLANTS
Revolutionize Your Smile with Dental Implant


FILLING GAPS BETWEEN TEETH
Enhance your smile with our range of cosmetic treatments



Bhanu Dental Clinic provided excellent care during my routine check-up. Highly recommend their skilled professionals!
Dhwani desai

I had an emergency, and their team was incredibly responsive and professional. Truly grateful for their service!
Ravindra salunke
★★★★★
★★★★★
Our Gallery
Explore our diverse range of dental treatments and patient smiles.











