Smile Designing
Expert TMJ Care for a Pain-Free Smile
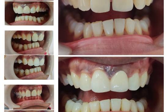
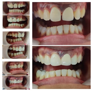
What is Smile Designing?
Smile designing is a customized dental treatment that focuses on enhancing the appearance of your smile. Our experienced dentists use advanced technology and techniques to create a personalized smile design that suits your unique facial structure, skin tone, and personal preferences.
When Should You Consider Smile Designing?
1. Uneven or Crooked Teeth: Smile designing can help straighten and align uneven or crooked teeth.
2. Discolored or Stained Teeth: Smile designing can include teeth whitening or veneers to brighten and whiten discolored or stained teeth.
3. Gaps Between Teeth: Smile designing can close gaps between teeth, creating a more uniform smile.
4. Chipped or Cracked Teeth: Smile designing can include bonding or veneers to repair chipped or cracked teeth.
5. Special Occasions: Smile designing is a great way to enhance your smile for special occasions like weddings, job interviews, or reunions.
Procedure
1. Consultation: Discuss your smile goals with our experienced dentist.
2. Digital Imaging: We use digital imaging technology to create a 3D model of your teeth and smile.
3. Smile Design: Our dentist creates a personalized smile design based on your unique needs and preferences.
4. Treatment: We provide a range of treatments, including teeth whitening, veneers, bonding, and orthodontics, to achieve your desired smile.
5. Follow-Up: We schedule follow-up appointments to ensure you're satisfied with your new smile.
Aesthetic Results
1. Enhanced Smile: Smile designing can enhance the overall appearance of your smile.
2. Boosted Confidence: A beautiful smile can boost your confidence and self-esteem.
3. Improved Facial Structure: Smile designing can help improve the overall facial structure and balance.
4. Natural-Looking Results: Our smile designing treatments are designed to produce natural-looking results that complement your unique features.
Affordable Cost at Bhanu Dental Clinic
At Bhanu Dental Clinic, we offer affordable pricing for smile designing treatments. Our experienced dentist will work with you to create a personalized treatment plan that fits your budget and smile goals.
Post-Care Instructions
1. Regular Cleaning: Clean your teeth regularly to prevent plaque and tartar buildup.
2. Avoid Hard or Sticky Foods: Avoid eating hard or sticky foods, which can damage your teeth or dental work.
3. Schedule Regular Check-Ups: Schedule regular check-ups with our dentist to monitor your smile and make any necessary adjustments.
4. Maintain Good Oral Hygiene: Brush and floss regularly to maintain good oral hygiene and prevent complications.


For more queries

